過蓋咬合
(咬み合わせが深い)

過蓋咬合とは、下の歯に上の歯が大きくかぶさっている状態です。下の前歯が上の歯茎を傷つけたり、歯が摩耗したりします。上の歯が大きく重なると、下顎が押し込まれることで顎関節に負担がかかり、顎関節症を引き起こす場合もあります。
過蓋咬合(嚙み合わせが深い)の主な原因
過蓋咬合の主な原因は以下の理由が挙げられます。
・上下の顎のバランスが悪い
・奥歯の噛み合わせに問題がある
・乳歯を早期に失い永久歯が悪い方向に生えてきた
過蓋咬合(嚙み合わせが深い)が及ぼす悪い影響
上顎の歯茎を傷つける、歯の摩耗が進行する、顎関節に悪影響が及ぶなど、さまざまな影響があります。
過蓋咬合の治療は
マウスピース型矯正歯科装置
で治せます!
当院では、マウスピース型矯正歯科装置をお勧めしております。コンピューターシミュレーションに基づいて作製した透明のマウスピースを1週間ごとに交換し、歯を少しずつ動かします。透明で薄い装置のため、口を開けたときにほとんど目立ちません。また、スピーチや面接、結婚式といった重要な場面では取り外すこともできます。
さらに、独自のコンピューターシミュレーションに基づいて作製するため、事前に歯の動き方を確認できる点も大きなメリットです。歯並び・噛み合わせがどのように改善するのかを患者さまにご確認いただけるため、モチベーションを保ちやすい治療と言えるでしょう。
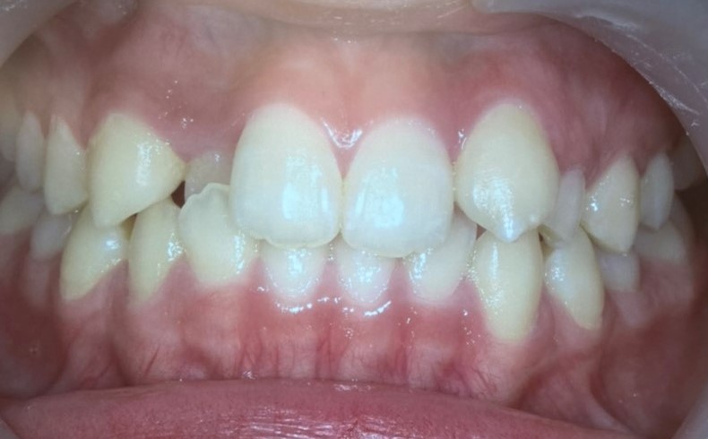
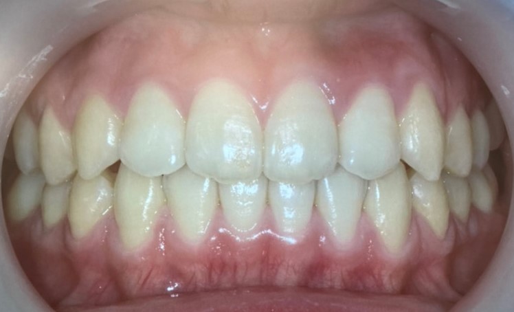
過蓋咬合
(噛み合わせが深い)
矯正治療例
Before

After

| 主訴 | 八重歯が気になる |
|---|---|
| 診断名・主な症状 | 左側が八重歯に近い歯ならびなのと、右上の前歯のかみ合わせが逆 |
| 年齢 | 23歳女性 |
| 治療期間・通院回数 | 約30~35回・30~35回 |
| 装置・費用 | マウスピース型矯正歯科装置880,000円 調整料5,500円×35回 |
| 治療内容 | 上顎左側側切歯(左上前から2番目が内側にありましたので、そのスペースを確保するために、犬歯を後方に移動しました。 上顎右側側切歯(右上前から2番目)は、スペースの確保を行い、前方に移動させることで、前歯を排列しました。かみ合わせの緊密化も図れております。 |
| 抜歯有無 | 永久歯の抜歯なし |
| リスク | ・歯の移動量が多かったため、治療期間の延長が予測されました。 ・矯正装置装着直後は、痛みや違和感が生じる場合がございます。 ・マウスピース型矯正歯科装置は、矯正装置(アライナー)の適切な装着が不可欠です。 ・装着方法や装着時間が適切でない場合、計画通りに歯が移動しない可能性があります。 ・お口の状態によっては、マウスピース型装置に加え、補助矯正装置が必要になることがあります。 ・治療によっては、ごくまれに歯肉退縮や歯根吸引が起こる場合があります。 ・装着したまま糖分の入った飲料をしていると、むし歯を発症しやすくなる恐れがあります。 ・治療完了後は、後戻りを防ぐため、保定装置(リテーナー)が必要です。 ・完成物薬機法対象外の矯正歯科装置であり、医薬品副作用被害 救済制度の対象外となる場合があります。 |
関連ページ
矯正治療における
副作用とリスク
矯正治療に伴うリスクや副作用は、ホームページに掲載することが法律で義務づけられています。全ての医療行為にはメリットとデメリットがあるため、両方を十分に比較し、治療を受けるかどうかお選びいただく必要があります。当院では、矯正治療の副作用やリスクについて十分にご説明し、ご納得いただいてから治療を開始しておりますので、不明点や疑問点はお気軽にご質問ください。
- 最初は矯正治療による不快感、痛み等があります。数日間~1、2週間で慣れることが多いようです。
- 歯の動き方には個人差があります。そのため、予想された治療期間が延長する可能性があります。また短縮する場合もあります。
- 装置の使用状況、顎間ゴムの使用状況、定期的な通院等、矯正治療には患者さんの協力が非常に重要であり、それらが治療結果や治療期間に影響します。
- 治療中は、装置がついているため、歯が磨きにくくなります。むし歯や歯周病のリスクが高まりますので、丁寧に磨いたり、定期的なメンテナンスが重要です。また、歯が動くと隠れていたむし歯が見えるようになることもあります。
- 歯を動かすことにより歯根が吸収して短くなることがあります。また、歯ぐきがやせて下がることがあります。
- ごくまれに、歯が骨と癒着していて歯が動かないことがあります。
- ごくまれに、歯を動かすことで神経が障害を受けて壊死することがあります。
- 治療途中に金属などのアレルギー症状がでることがあります。
- 治療中に「顎関節で音がある、あごが痛い、口が開けにくい」などの顎関節症状が出ることがあります。
- 歯の動きによる様々な問題により、当初予定した治療計画を変更する可能性があります。
- 歯の形を修正したり、咬み合わせの微調整を行ったりする可能性があります。
- 矯正装置を誤飲する可能性があります。
- 装置を外す時に、エナメル質に微少な亀裂が入る可能性や、被せた歯(補綴物)の一部が破損する可能性があります。
- 装置が外れた後、保定装置を指示通り使用しないと後戻りが生じる可能性が高くなります。
- 装置が外れた後、現在の咬み合わせに合った被せる歯(補綴歯)や虫歯の治療(修復物)などをやりなおす可能性があります。
- あごの成長発育により咬み合わせや歯並びが変化する可能性があります。
- 治療後に親知らずが萌えて、凸凹が生じる可能性は文献ではないとされていますが、加齢や歯周病等により歯を支えている骨がやせると咬みあわせや歯並びが変化することがあります。その場合、再治療等が必要になることがあります。
- 矯正歯科治療は、一度始めると元の状態に戻すことは難しくなります。




