マウスピース型矯正歯科装置症例
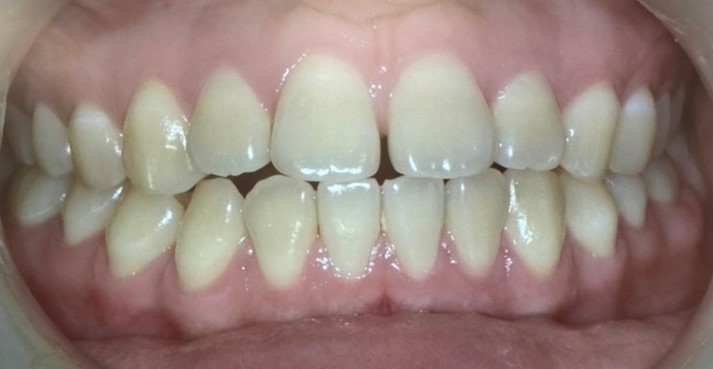
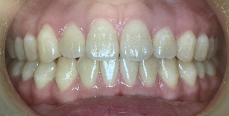
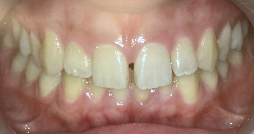
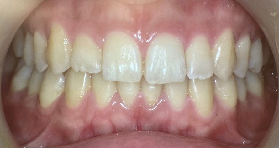
症例1
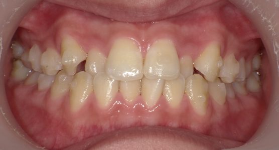
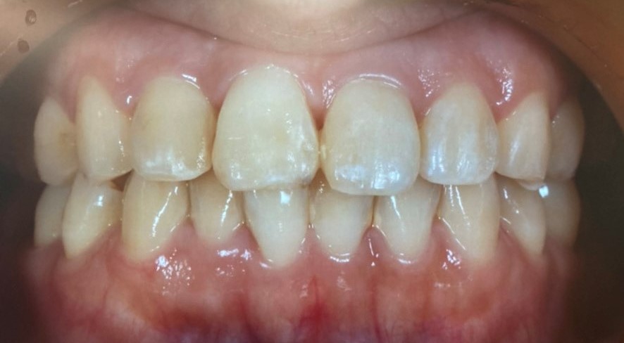
Before

After

| 主訴 | すきっ歯がきになる |
|---|---|
| 診断名・主な症状 | 正中離開(真ん中がすきっ歯) |
| 年齢 | 20歳女性 |
| 治療期間・通院回数 | 約19~25ヶ月・19~25回 |
| 装置・費用 | ・マウスピース型矯正歯科装置 880,000円 調整料 5,500円×19回=104,500円 |
| 治療内容 | 上顎前歯正中の離開を改善するため、上下顎歯列を整えて、スペースの閉鎖を行いました。 スペースの閉鎖後、かみ合わせの緊密化も行っている症例です。 矯正治療に際して、歯の抜歯は行っておりません |
| 抜歯有無 | 永久歯の抜歯なし |
| リスク | ・矯正装置装着直後は、痛みや違和感が生じる場合がございます。 ・マウスピース型矯正歯科装置は、矯正装置(アライナー)の適切な装着が不可欠です。 ・装着方法や装着時間が適切でない場合、計画通りに歯が移動しない可能性があります。 ・お口の状態によっては、マウスピース型装置に加え、補助矯正装置が必要になることがあります。 ・治療によっては、ごくまれに歯肉退縮や歯根吸引が起こる場合があります。 ・装着したまま糖分の入った飲料をしていると、むし歯を発症しやすくなる恐れがあります。 ・治療完了後は、後戻りを防ぐため、保定装置(リテーナー)が必要です。 ・完成物薬機法対象外の矯正歯科装置であり、医薬品副作用被害 救済制度の対象外となる場合があります。 |
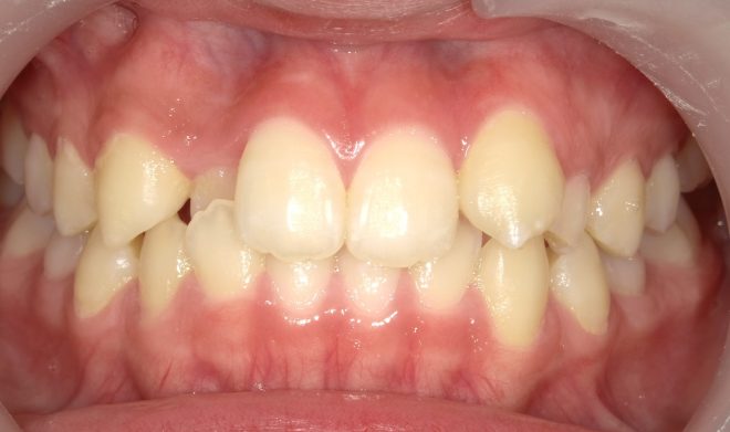
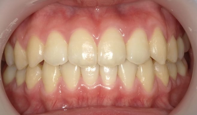
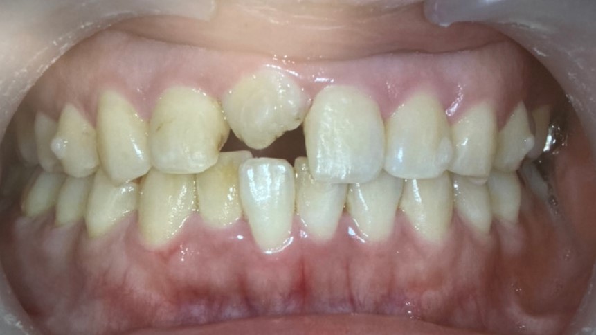
症例2
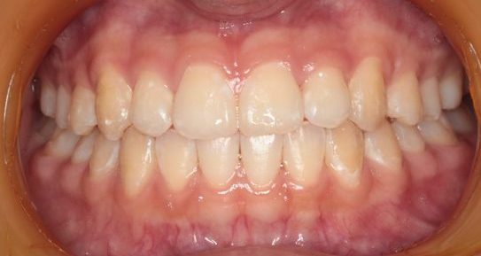
Before

After

| 主訴 | 歯並びが気になる |
|---|---|
| 診断名・主な症状 | 左側が八重歯っぽい歯並び 右上の前歯のかみ合わせが逆 |
| 年齢 | 23歳女性 |
| 治療期間・通院回数 | 約30~35回・30~35回 |
| 装置・費用 | ・マウスピース型矯正歯科装置 880,000円 調整料 5,500円×35回=192,500円 |
| 治療内容 | 上顎左側側切歯(左上前から2番目が内側にありましたので、そのスペースを確保するために、犬歯を後方に移動しました。 上顎右側側切歯(右上前から2番目)は、スペースの確保を行い、前方に移動させることで、前歯を排列しました。 かみ合わせの緊密化も図れております。 |
| 抜歯有無 | 永久歯の抜歯なし |
| リスク | ・歯の移動量が多かったため、治療期間の延長が予測されました。 ・矯正装置装着直後は、痛みや違和感が生じる場合がございます。 ・マウスピース型矯正歯科装置は、矯正装置(アライナー)の適切な装着が不可欠です。 ・装着方法や装着時間が適切でない場合、計画通りに歯が移動しない可能性があります。 ・お口の状態によっては、マウスピース型装置に加え、補助矯正装置が必要になることがあります。 ・治療によっては、ごくまれに歯肉退縮や歯根吸引が起こる場合があります。 ・装着したまま糖分の入った飲料をしていると、むし歯を発症しやすくなる恐れがあります。 ・治療完了後は、後戻りを防ぐため、保定装置(リテーナー)が必要です。 ・完成物薬機法対象外の矯正歯科装置であり、医薬品副作用被害 救済制度の対象外となる場合があります。 |
症例3
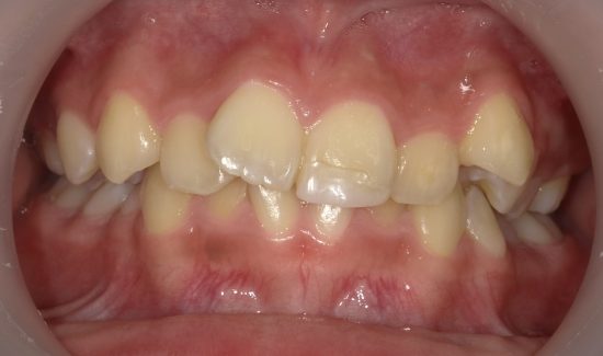
Before

After

| 主訴 | 八重歯が気になる |
|---|---|
| 診断名・主な症状 | 八重歯と歯並び改善 |
| 年齢 | 16歳 |
| 治療期間・通院回数 | 約20~24回・20~24回 |
| 装置・費用 | ・マウスピース型矯正歯科装置 880,000円 調整料 5,500円×23回=126,500円 |
| 治療内容 | 上顎両側側切歯(上の前から2番目)が内側に位置しておりましたので、前歯のスペースを空けて、前方に移動させることで、きれいに排列することができました。 スペースの確保のために上顎臼歯の遠心移動を図っています。 下顎の前歯も一本一本を丁寧に角度を治すことで、上下左右の対称性を獲得できたと思います。 |
| 抜歯有無 | 永久歯の抜歯なし |
| リスク | ・矯正装置装着直後は、痛みや違和感が生じる場合がございます。 ・マウスピース型矯正歯科装置は、矯正装置(アライナー)の適切な装着が不可欠です。 ・装着方法や装着時間が適切でない場合、計画通りに歯が移動しない可能性があります。 ・お口の状態によっては、マウスピース型装置に加え、補助矯正装置が必要になることがあります。 ・治療によっては、ごくまれに歯肉退縮や歯根吸引が起こる場合があります。 ・装着したまま糖分の入った飲料をしていると、むし歯を発症しやすくなる恐れがあります。 ・治療完了後は、後戻りを防ぐため、保定装置(リテーナー)が必要です。 ・完成物薬機法対象外の矯正歯科装置であり、医薬品副作用被害 救済制度の対象外となる場合があります。 |
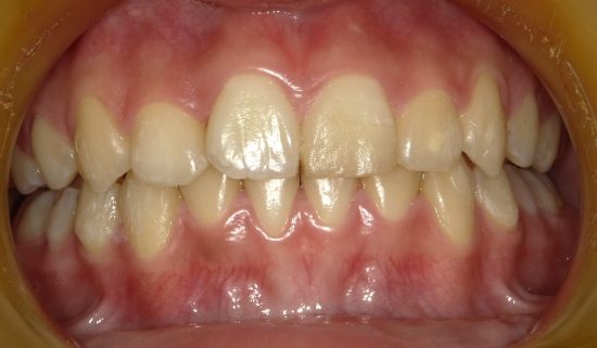
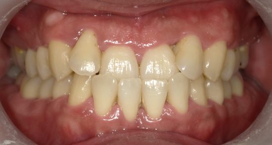
Before

After

| 主訴 | 重度な八重歯と歯並びが気になる |
|---|---|
| 診断名・主な症状 | 重度な八重歯と歯並び改善 |
| 年齢 | 33歳 女性 |
| 治療期間・通院回数 | 約25~30回・25~30回 |
| 装置・費用 | ・マウスピース型矯正歯科装置 880,000円 調整料 5,500円×27回=148,500円 |
| 治療内容 | 口腔衛生指導後、上顎の両側第一小臼歯(前から4番目の歯)を抜歯したあと、マウスピース型矯正しk装置にて、抜歯したスペースに歯を動かすことでキレイな歯ならびを実現しました。 歯ならびが良くなった後は、噛み合わせが緊密になるように調整をしております。 現在は、保定装置を使用中で安定した噛み合わせと歯ならびを維持できています。 |
| 抜歯有無 | 上顎の両側第一小臼歯の抜歯 |
| リスク | ・矯正装置装着直後は、痛みや違和感が生じる場合がございます。 ・マウスピース型矯正歯科装置は、矯正装置(アライナー)の適切な装着が不可欠です。 ・装着方法や装着時間が適切でない場合、計画通りに歯が移動しない可能性があります ・お口の状態によっては、マウスピース型装置に加え、補助矯正装置が必要になることがあります。 ・治療によっては、ごくまれに歯肉退縮や歯根吸引が起こる場合があります。 ・装着したまま糖分の入った飲料をしていると、むし歯を発症しやすくなる恐れがあります。 ・治療完了後は、後戻りを防ぐため、保定装置(リテーナー)が必要です。 ・完成物薬機法対象外の矯正歯科装置であり、医薬品副作用被害 救済制度の対象外となる場合があります。 |
症例4
Before

After

| 主訴 | 上顎前突(出っ歯・口ゴボ) |
|---|---|
| 診断名・主な症状 | 上顎前突・かみ合わせの緊密化 |
| 年齢 | 18歳 |
| 治療期間・通院回数 | 約20~24回・20~24回 |
| 装置・費用 | マウスピース型矯正歯科装置 880,000円 調整料 5,500円×22回=121,000円 |
| 治療内容 | 上の前歯の位置が前方にあり傾斜していました。上の歯を奥歯から後方に移動して、前歯の大きさを0.25ミリずつ削ることで少しスリムにさせていただき(IPR処置)、歯を並べました。 最後に、かみ合わせの緊密化を行い保定に移行しています。 |
| 抜歯有無 | 永久歯の抜歯なし |
| リスク | ・IPR処置(歯のスリム化)によって、歯を削ることで歯の形態が変わります。極稀ですが、処置後に歯がしみることがあります。 ・矯正装置装着直後は、痛みや違和感が生じる場合がございます。 ・マウスピース型矯正歯科装置は、矯正装置(アライナー)の適切な装着が不可欠です。 ・装着方法や装着時間が適切でない場合、計画通りに歯が移動しない可能性があります。 ・お口の状態によっては、マウスピース型装置に加え、補助矯正装置が必要になることがあります。 ・治療によっては、ごくまれに歯肉退縮や歯根吸引が起こる場合があります。 ・装着したまま糖分の入った飲料をしていると、むし歯を発症しやすくなる恐れがあります。 ・治療完了後は、後戻りを防ぐため、保定装置(リテーナー)が必要です。 ・完成物薬機法対象外の矯正歯科装置であり、医薬品副作用被害 救済制度の対象外となる場合があります。 |
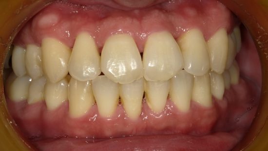
症例5
Before

After

| 主訴 | 歯の真ん中が空いている かみ合わせが不快 |
|---|---|
| 診断名・主な症状 | 深いかみ合わせの改善 |
| 年齢 | 26歳男性 |
| 治療期間・通院回数 | 約20~24回・20~24回 |
| 装置・費用 | ・マウスピース型矯正歯科装置 880,000円 調整料 5,500円×23回=126,500円 |
| 治療内容 | 上顎前歯部を圧下させることで、深いかみ合わせを改善しました。 同時に、スペースの閉鎖も行っております。 |
| 抜歯有無 | 永久歯の抜歯なし |
| リスク | ・矯正装置装着直後は、痛みや違和感が生じる場合がございます。 ・マウスピース型矯正歯科装置は、矯正装置(アライナー)の適切な装着が不可欠です。 ・装着方法や装着時間が適切でない場合、計画通りに歯が移動しない可能性があります。 ・お口の状態によっては、マウスピース型装置に加え、補助矯正装置が必要になることがあります。 ・治療によっては、ごくまれに歯肉退縮や歯根吸引が起こる場合があります。 ・装着したまま糖分の入った飲料をしていると、むし歯を発症しやすくなる恐れがあります。 ・治療完了後は、後戻りを防ぐため、保定装置(リテーナー)が必要です。 ・完成物薬機法対象外の矯正歯科装置であり、医薬品副作用被害 救済制度の対象外となる場合があります。 |
症例6
Before

After

| 主訴 | 右上の前歯が生えてこれない |
|---|---|
| 診断名・主な症状 | 叢生・全体的なかみ合わせ |
| 年齢 | 31歳女性 |
| 治療期間・通院回数 | 約25~30回・25~30回 |
| 装置・費用 | ・マウスピース型矯正歯科装置 880,000円 調整料 5,500円×28回=154,000円 |
| 治療内容 | 上顎右側中切歯(前から1番目)が生えることができるスペースを確保し、牽引しました。 他院では、ワイヤー矯正になると言われた症例です。牽引が終了した後、全体的なかみ合わせの緊密化を図っています。 下顎に少し叢生(ガタガタ)は残っていますが、ご本人は主訴が解決し、充分満足してるとのことで治療を終えました。 |
| 抜歯有無 | 永久歯の抜歯なし |
| リスク | ・矯正装置装着直後は、痛みや違和感が生じる場合がございます。 ・マウスピース型矯正歯科装置は、矯正装置(アライナー)の適切な装着が不可欠です。 ・装着方法や装着時間が適切でない場合、計画通りに歯が移動しない可能性があります。 ・お口の状態によっては、マウスピース型装置に加え、補助矯正装置が必要になることがあります。 ・治療によっては、ごくまれに歯肉退縮や歯根吸引が起こる場合があります。 ・装着したまま糖分の入った飲料をしていると、むし歯を発症しやすくなる恐れがあります。 ・治療完了後は、後戻りを防ぐため、保定装置(リテーナー)が必要です。 ・完成物薬機法対象外の矯正歯科装置であり、医薬品副作用被害 救済制度の対象外となる場合があります。 |
症例7
Before

After

| 主訴 | 前歯が逆に噛んでいる |
|---|---|
| 診断名・主な症状 | 前歯が逆に噛んでいる |
| 年齢 | 27歳 女性 |
| 治療期間・通院回数 | 約20~24回・20~24回 |
| 装置・費用 | ・マウスピース型矯正歯科装置 880,000円 調整料 5,500円×23回=126,500円 |
| 治療内容 | 口腔衛生指導後、マウスピース型矯正歯科装置を使用して、前歯部の唇側傾斜移動を行い、下の前歯よりも前に出るように調整しました。 下の前歯は、歯の大きさを調整し、上の歯に対して内側に移動させました。 現在、正中も改善し噛み合わせの良好な結果を維持できています(保定治療中)。 |
| 抜歯有無 | 永久歯の抜歯なし |
| リスク | ・矯正装置装着直後は、痛みや違和感が生じる場合がございます。 ・マウスピース型矯正歯科装置は、矯正装置(アライナー)の適切な装着が不可欠です。 ・装着方法や装着時間が適切でない場合、計画通りに歯が移動しない可能性があります。 ・お口の状態によっては、マウスピース型装置に加え、補助矯正装置が必要になることがあります。 ・治療によっては、ごくまれに歯肉退縮や歯根吸引が起こる場合があります。 ・装着したまま糖分の入った飲料をしていると、むし歯を発症しやすくなる恐れがあります。 ・治療完了後は、後戻りを防ぐため、保定装置(リテーナー)が必要です。 ・完成物薬機法対象外の矯正歯科装置であり、医薬品副作用被害 救済制度の対象外となる場合があります。 |
矯正治療における
副作用とリスク
矯正治療に伴うリスクや副作用は、ホームページに掲載することが法律で義務づけられています。全ての医療行為にはメリットとデメリットがあるため、両方を十分に比較し、治療を受けるかどうかお選びいただく必要があります。当院では、矯正治療の副作用やリスクについて十分にご説明し、ご納得いただいてから治療を開始しておりますので、不明点や疑問点はお気軽にご質問ください。
- 最初は矯正治療による不快感、痛み等があります。数日間~1、2週間で慣れることが多いようです。
- 歯の動き方には個人差があります。そのため、予想された治療期間が延長する可能性があります。また短縮する場合もあります。
- 装置の使用状況、顎間ゴムの使用状況、定期的な通院等、矯正治療には患者さんの協力が非常に重要であり、それらが治療結果や治療期間に影響します。
- 治療中は、装置がついているため、歯が磨きにくくなります。むし歯や歯周病のリスクが高まりますので、丁寧に磨いたり、定期的なメンテナンスが重要です。また、歯が動くと隠れていたむし歯が見えるようになることもあります。
- 歯を動かすことにより歯根が吸収して短くなることがあります。また、歯ぐきがやせて下がることがあります。
- ごくまれに、歯が骨と癒着していて歯が動かないことがあります。
- ごくまれに、歯を動かすことで神経が障害を受けて壊死することがあります。
- 治療途中に金属などのアレルギー症状がでることがあります。
- 治療中に「顎関節で音がある、あごが痛い、口が開けにくい」などの顎関節症状が出ることがあります。
- 歯の動きによる様々な問題により、当初予定した治療計画を変更する可能性があります。
- 歯の形を修正したり、咬み合わせの微調整を行ったりする可能性があります。
- 矯正装置を誤飲する可能性があります。
- 装置を外す時に、エナメル質に微少な亀裂が入る可能性や、被せた歯(補綴物)の一部が破損する可能性があります。
- 装置が外れた後、保定装置を指示通り使用しないと後戻りが生じる可能性が高くなります。
- 装置が外れた後、現在の咬み合わせに合った被せる歯(補綴歯)や虫歯の治療(修復物)などをやりなおす可能性があります。
- あごの成長発育により咬み合わせや歯並びが変化する可能性があります。
- 治療後に親知らずが萌えて、凸凹が生じる可能性は文献ではないとされていますが、加齢や歯周病等により歯を支えている骨がやせると咬みあわせや歯並びが変化することがあります。その場合、再治療等が必要になることがあります。
- 矯正歯科治療は、一度始めると元の状態に戻すことは難しくなります。




